Solution

in vivo・ex vivo イメージング・サンプル計測サービス

心血管領域呼吸領域腫瘍・がん研究

マウスラットウサギ

in vivo・ex vivo イメージング・サンプル計測サービス
プライムテックは、海外メーカー各社の実験動物用 in vivo イメージング機器の日本総代理店として活動しており、各モダリティ・装置のデモ機を保有しております。

これらのデモ機を用い、長年培った学術的・技術的知見を活かしたサンプル計測サービスを有償にて行っています。

計測場所は、デモ機を設置してある弊社ライフサイエンス研究室(東京大学農学部敷地内フードサイエンス棟)となります。

最初に、計測条件・試験目的をヒアリングさせていただき、実施可否を回答いたします。※本サービスは、設備やリソースが限られた条件の中でのご提供サービスとなります。

ご興味がございましたら、是非お問い合わせください。

見積のご依頼は ≪ 専用フォーム ≫よりご連絡ください。


サービス概要



ご利用いただけるモダリティは、【超音波】【MRI】の2種類です。



ページの先頭に戻る

【超音波】 小動物用超音波高解像度イメージング装置-Vevo3100

装置の特長
  • 最大フレームレート:1,000fr/sec
  • 高分解能:30µm
  • 焦点深度・中心周波数・分解能の異なる7種のプローブを用い、生体内の対象物を適切にイメージング


適用アプリケーション
  • 生体内軟組織のリアルタイムイメージング
  • マウス~ウサギの組織イメージング
  • 心機能・血流評価・マイクロバブル造影剤評価
  • 胎児、心血管、各種臓器、臓器血流、腫瘍、マウス脳血流 など


実績例
  • 筋ジストロフィ・心機能評価
    (この事例では、同時にMRIによる大腿筋壊死評価、呼吸機能解析装置による呼吸数(横隔膜筋)評価も実施)
  • 腎障害モデル評価
  • 造影剤(バブル)開発のパイロット試験


  見積のご依頼は こちら から



 アプリケーション事例 【心血管・腹部臓器・胎児】


 
B-Mode
左室トレース、心機能パラメータの算出
  • Area (s,d) = mm2
  • Ejection Fraction = %
  • Volume (s,d) = µl
  • Stroke Volume = µl
  • Fractional Shortening = %
  • Cardiac Output = mL/min
  • LV Mass = mg
M-Mode B-Mode
Short Axis
  • 組織のMotionイメージング
  • 心室、血管径・壁厚の評価
Color Doppler Pulsed-Wave Doppler
MV inflow
  • E/A ratio

 
B-Mode

 
B-Mode

 
Power Doppler (2D) Power Doppler (3D)

 
Power Doppler (2D)

▲ 【超音波】アプリケーション事例 【心血管・腹部臓器・胎児】先頭へ戻る





 アプリケーション事例 【がん研究】


 

 

 

Maximum Intensity Persistence (MIP) Process




  • Peak enhancement
  • Time to peak
  • Wash-in rate

 

 


▲ 【超音波】先頭へ戻る

ページの先頭に戻る

【MRI】 小動物用1T コンパクトMRIシステム-M7

装置の特長
  • スピンエコー(T1/T2, 2D/3D)・高速スピンエコー(T1/T2, 2D/3D)・グラジエントエコー等ほか、拡散強調(DWI) も搭載
  • 【In vivo計測】マウス(脳・全身)、ラット(脳・腹部)、肥満モデルラット用のコイル5種を用意
  • 【Ex vivo計測】固定サンプルを⌀20×60㎜のカートリッジに入れ計測


適用アプリケーション
  • 生体内軟組織(in vivo)、固定サンプル(ex vivo)の形態学的イメージング
  • 脳、腫瘍、炎症、MRI造影剤評価など


実績例
  • 筋ジストロフィ・大腿筋壊死評価
    (この事例では、同時に超音波による心機能評価、呼吸機能解析装置による呼吸数(横隔膜筋)評価も実施)
  • ラット変形性関節炎・固定サンプル評価
  • 脳動脈血流と心循環の相関評価
  • 再生医療パイロット試験
  • 糖尿病モデルマウスの肝脂肪、脂肪/筋肉定量
  • ラット脳梗塞固定サンプル・病変部位の定量評価


  見積のご依頼は こちら から
   装置の詳細はこちらから



 アプリケーション事例


 
 

 FSE : slice thickness 1mm, resolution 156 um,
 acquisition time 13.2min


 
 

 T2 weighted: FSE (TE/TR=74/3030, FOV=50, Matrix=256x256, Res. 195µm, Acq. Time 14:41 min:sec)


 
【MRI T1強調】
  a コントロール / b 病態モデル

【MRI T2強調】
  c コントロール / d 病態モデル

【HE染色】
  e コントロール / f 病態モデル

 
 

グリア細胞の増殖がない散在した細胞変性の検知は難(1⁺)。 一方で、広範囲のネクロシスはよく検知し(3⁺)、
グリア細胞の増殖を伴った神経変性(2⁺)もT1強調で比較的検知している。
 
Yoshikazu Taketa et. al.,
Application of a compact magnetic resonance imaging system for toxicologic pathology: evaluation of lithium-pilocarpine-induced rat brain lesions
J Toxicol Pathol. 2015 Oct;28(4):217-24. doi: 10.1293/tox.2015-0043. Epub 2015 Sep 7.
https://www.ncbi.nlm.nih.gov/pmc/articles/PMC4604131/

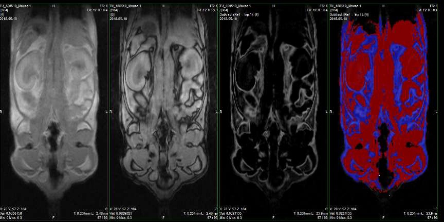
:脂肪、:軟組織

 
 (老齢マウス)

 
 (若齢マウス)

 


:脂肪、:軟組織

 
 (老齢マウス)

 
 (若齢マウス)

 


 
老齢マウス 若齢マウス
右後肢体積(mm3) 1024.63 1054.39
左後肢体積(mm3) 1018.26 1104.19

 
Control
Fibrosis



*炎症部位を解析定量



▲ 【MRI】先頭へ戻る

ページの先頭に戻る

この製品のメーカー

  • FUJIFILM VisualSonics, Inc.
  • ASPECT Imaging
お知らせ
現在お知らせはありません。

コンタクトフォーム

その他製品に関するご質問・ご相談※具体的なお問い合わせ内容をご記入ください。

キーワードから製品を探す

検索

メーカー名や製品のモデル名・型式などから検索することができます。スペースをあけて複数の単語を入力すると、 AND 絞り込み検索となります。